
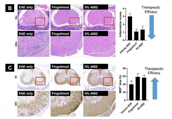
사진설명: IVL4002 처리군에서 염증지표와 탈수초화를 유의미하게 감소시킨 효능 결과
약물전달시스템 개발 전문 기업 인벤티지랩(389470, 대표이사 김주희)은 지난 5월 3일부터 7일까지(현지 시각) 미국 시카고에서 열리는 미국면역학회(AAI 2024)에서 자사 다발성경화증 1개월 장기지속형 주사제 ‘IVL4002’에 대한 약효평가 연구성과를 발표했다. 미국면역학회는 110년의 역사를 가진 면역학 분야 최고 권위의 국제 학술대회이다.
이번 학회에서 인벤티지랩은 다발성경화증 설치류 질환모델인 EAE 모델에서 장기 지속형 주사제로 개발된 IVL4002가 기존 표준 치료제인 핀골리모드(Fingolimod)와 동등한 치료 효과를 보인 데이터를 처음으로 공개했다. 이 모델에서 IVL4002는 음성대조약(placebo) 대비 핀골리모드와 동등한 수준의 유의미한 임상스코어 개선효과를 보였으며, 질환의 악화를 지연시키는 효능도 입증했다. 또한, 염증지표(Inflammation)와 탈수초화(demyelination)를 유의미하게 감소시키는 점도 확인됐다.
IVL4002는 인벤티지랩의 새로운 약물 적응증 재창출(Drug-Repurposing) 전략에 따라 자가면역질환이라는 새로운 적응증 확장을 목표로 개발중인 약물이다. 이미 1980년대에 미국 식품의약국(FDA) 허가를 받아 시판 중인 중추신경계 약물에 회사만의 플랫폼 기술인 ‘IVL-DrugFluidic®’을 적용해 체내 농도를 정밀하게 조절하는 방식으로 적응증 확장을 시도하고 있다.
IVL4002은 앞서 류마티스 관절염에 대해 대표적인 질환 동물 모델인 CIA에서 염증 지표 및 관절 파괴 정도가 대폭 감소하는 결과를 얻었고, 일부 항목에서는 표준치료제인 휴미라보다 더 큰 효능이 있는 점도 확인됐다. 회사는 우수한 효능 데이터와 장기지속형 주사제의 편의성을 살려 류마티스 관절염 뿐만 아니라 다발성 경화증 등 자가면역질환으로 적응증을 확장하는 데 주력해왔으며 이번 학회 발표를 통해 약물 적응증 재창출 전략이 성공적으로 진행되고 있다는 점을 다시 한번 확인했다.
인벤티지랩은 IVL4002에 대해 지난해 식품의약품안전처로부터 다발성경화증 치료를 위한 1개월 장기지속형 주사제 개발단계 희귀의약품 지정을 받았다. 회사는 앞으로 패스트트랙(Fast-Track) 전략을 통해 임상 개발과 제품화 일정을 단축하고 올 하반기 호주 임상 1상 진입을 목표로 준비하고 있다.
인벤티지랩 관계자는 “포스터 발표 현장에서 자사의 우수한 약물개발 플랫폼 기술력과 후보 약물 개발전략 및 개발현황에 관심을 가지는 방문객이 많았다”며 “자가면역질환 분야에서 장기지속형 주사제로써 새로운 치료 옵션을 제공하기 위해 향후 임상 및 제품화에 속도를 낼 것”이라고 말했다.
한편, 인벤티지랩은 올해 6월 미국 샌디에이고에서 예정된 ‘BIO International 2024’에 참가해 약물 재창출 파이프라인을 기반으로 자가면역질환 치료제 개발 및 사업화를 위한 글로벌 협력 파트너를 확보할 계획이다. 끝.

사진설명: AAI 2024 인벤티지랩 포스터 발표 현장 사진